Acute Cellular Rejection: MILD   Home Links Contact Us Search
 

Figure A.

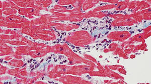
Suboptimal biopsy with >50% scar tissue
consistent with previous biopsy site (2x)

Figure B. Allograft myocardium with no evidence of cellular or antibody allograft rejection

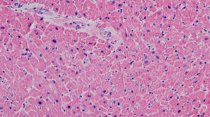
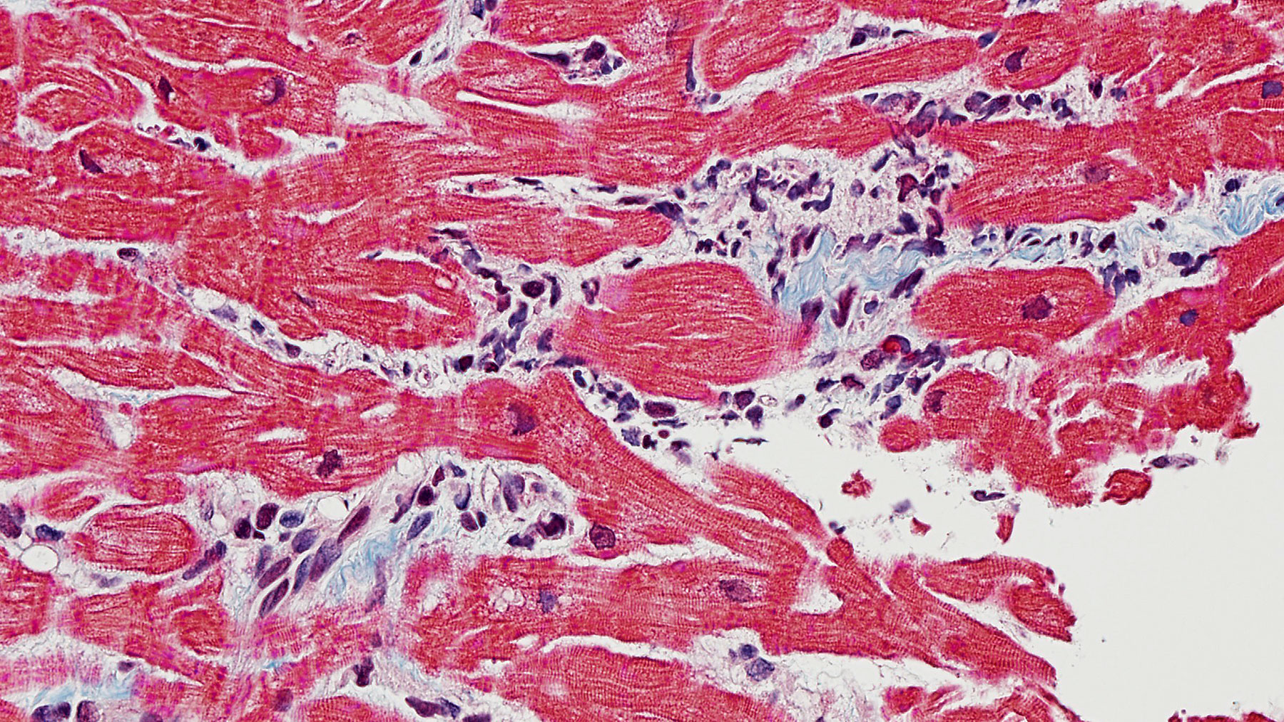
Figure C. H&E x40

Figure D. Trichrome stain x40

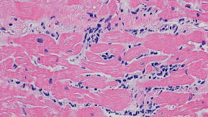
Figure E. H&E x40

         

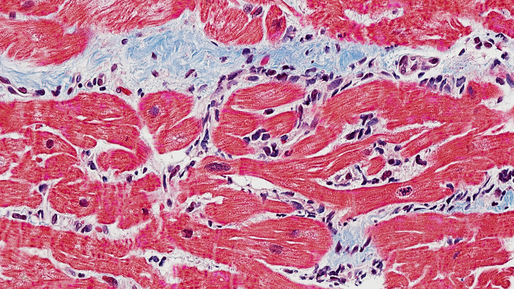
Figure F. Trichrome stain x40

     

 

ALLOGRAFTS

 

Clinical History: 59 year-old female, status post orthotopic heart transplant one year ago secondary to adriamycin induced cardiomyopathy. Her previous biopsies were with no signs of rejection.

Histology: Images for suboptimal biopsy (Figure A) and normal myocardial tissue from a different heart allograft (Figure B) are presented as references.  Patient's sections with H&E staining (Figures C & E) show perivascular mononuclear cell infiltration with a single focus of associated myocyte damage consistent with mild acute cellular rejection, ISHLT 2004 Grade 1R (ISHLT 1990 Grade 1A). Trichrome staining from consecutive sections from C & E (Figures D & F) reveal mild interstitial edema.


(Last Edition: July 09, 2022 )