Antibody Mediated Rejection (AMR)

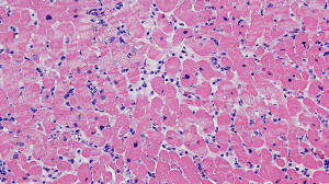
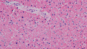
Figure A. Allograft myocardium with no evidence
of cellular or antibody allograft rejection

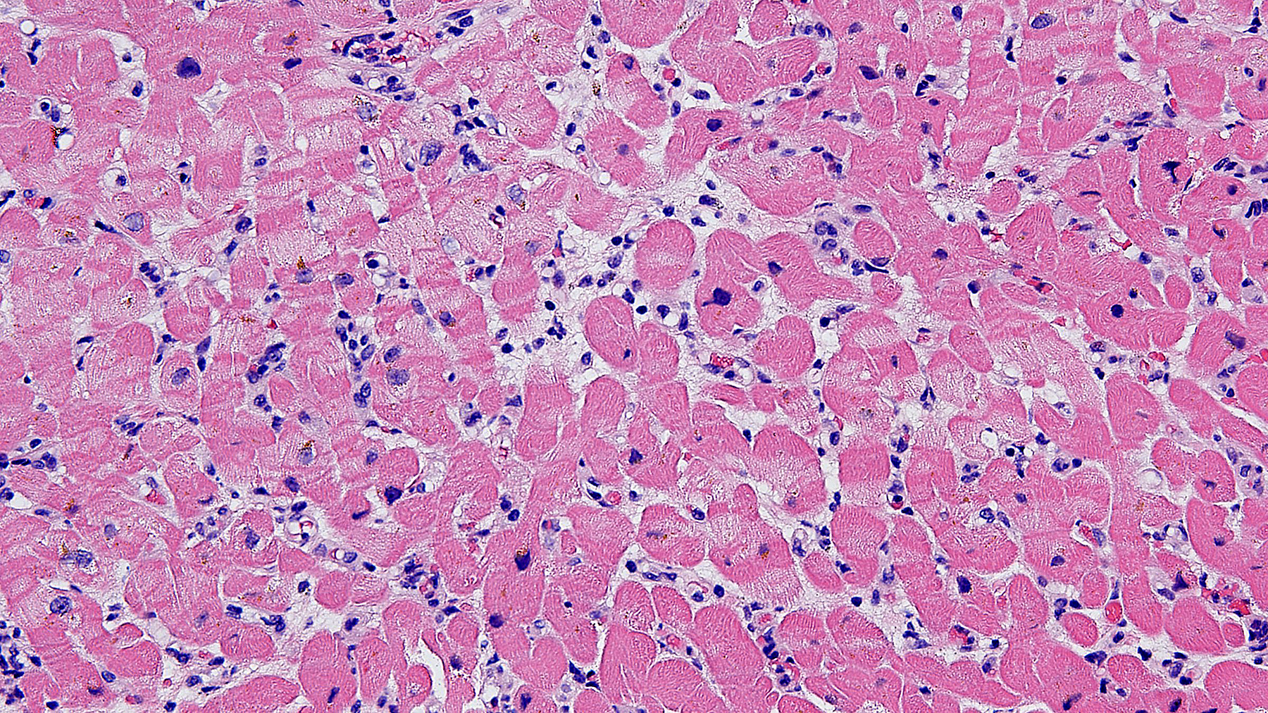
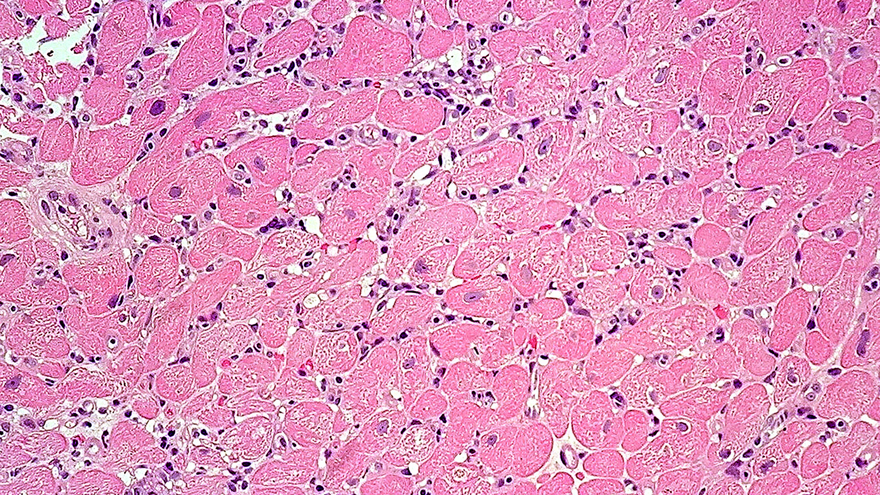
Figure B. Allograft myocardium pAMR 1. H&E (20x)

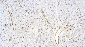
Figure C. Case from Fig. B with anti-C4d (20x)

Figure D. anti-C4d (20x) Positive Control

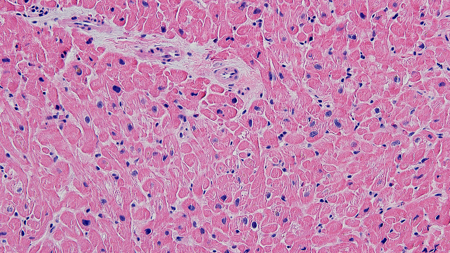
Figure E. H&E (20x) pAMR grade 1 (H+)
(Histopathologic AMR alone)

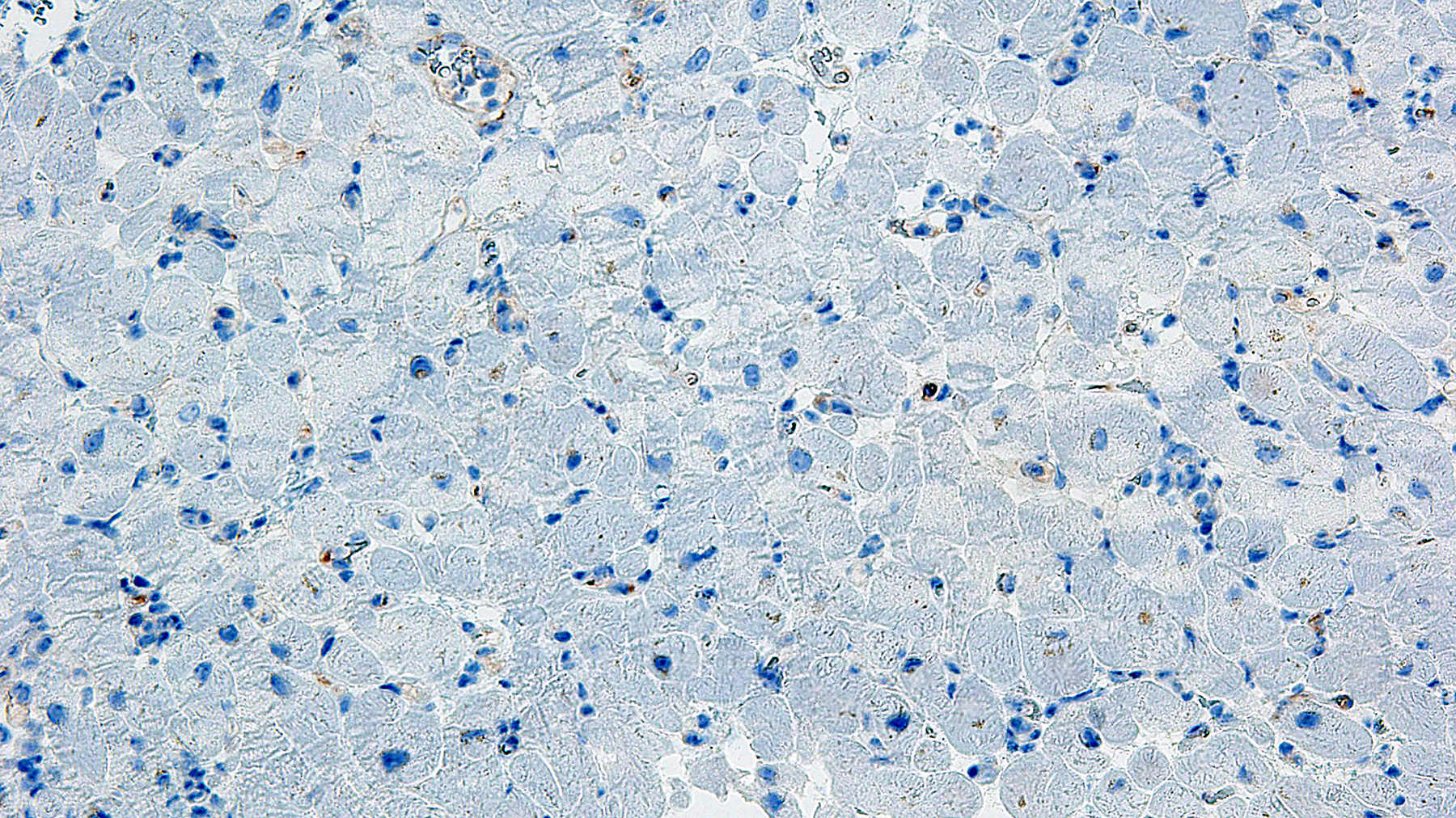
Figure F.  CD68 (20x) pAMR grade 1 (H+)
(Histopathologic AMR alone)

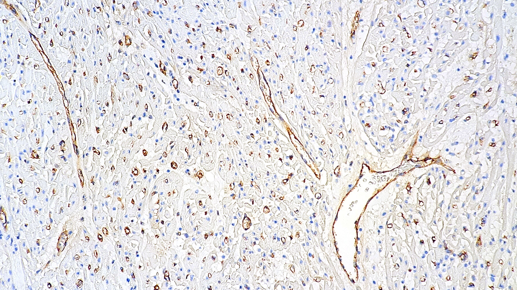
Figure G. C4d(20x) pAMR grade 1 (H+)
(Histopathologic AMR alone)

ALLOGRAFTS

 

Antibody Mediated Rejection (AMR): 2013 ISHLT Working Formulation for Pathologic Diagnosis of Cardiac AMR

 

Ref.: The Journal of Heart and Lung Transplantation, 32(12): 147-62. December 2013

- Grade pAMR 0 (Negative for pathologic AMR)
    (Histologic and immunopathologic studies are both negative)

- Grade pAMR 1 (H+) (Histopathologic AMR alone)
    (Histologic findings are present and immunopathologic findings are negative)

- Grade pAMR 1 (I+) (Immunopathologic AMR alone)
    (Histologic findings are negative and immunopathologic findings are positive: CD68- and C4d+)

- Grade pAMR 2 (Pathologic AMR)

   (Histologic and immunopathologic findings are both present)

- Grade pAMR 3 (Severe pathologic AMR)
(Interstitial hemorrhage, capillary fragmentation, mixed inflammatory infiltrates, endothelial cell pyknosis, and/or karyorrhexis, and mark ededema and immunopathologic findings are present. These cases may be associated with profound hemodynamic dysfunction and poor clinical outcome).


(Last Edition: July 09, 2022 )