Acute Cellular Rejection: MODERATE

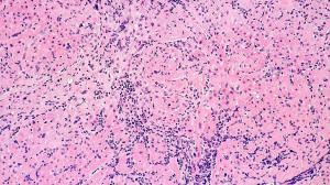
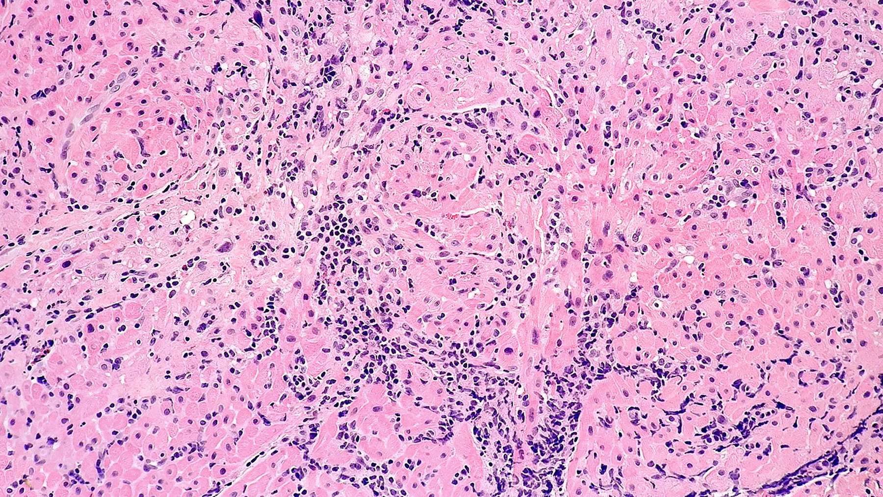
Figure A. H & E 20x

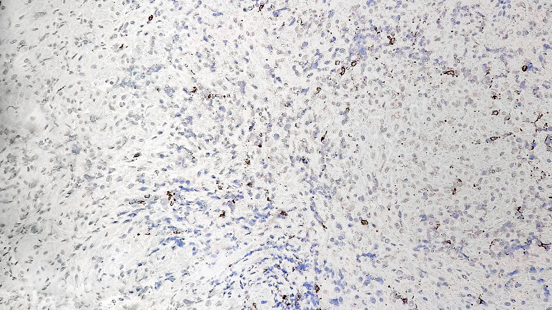
Figure B. CD3 IHC staining

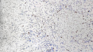
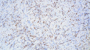
Figure C. CD68 IHC staining

Figure D. CD20 IHC staining

     

ALLOGRAFTS

 

Clinical History: 64 year-old male with history of severe non ischemic cardiomyopathy, who received a orthotopic heart transplant.

Histology: H&E section (Figure A) of the myocardial tissue shows foci of perivascular mononuclear cell infiltration with some associated myocardial damage consistent with moderate acute cellular rejection (grade 2R) (ISHLT 1990 Grade 3A).  Special immunohistochemistry staining for CD3 and CD68 (Figure B and Figure C) show a predominant population of T cells and macrophages. Special stating for CD20 shows only a few scattered B cells (Figure D).


(Last Edition: July 09, 2022)