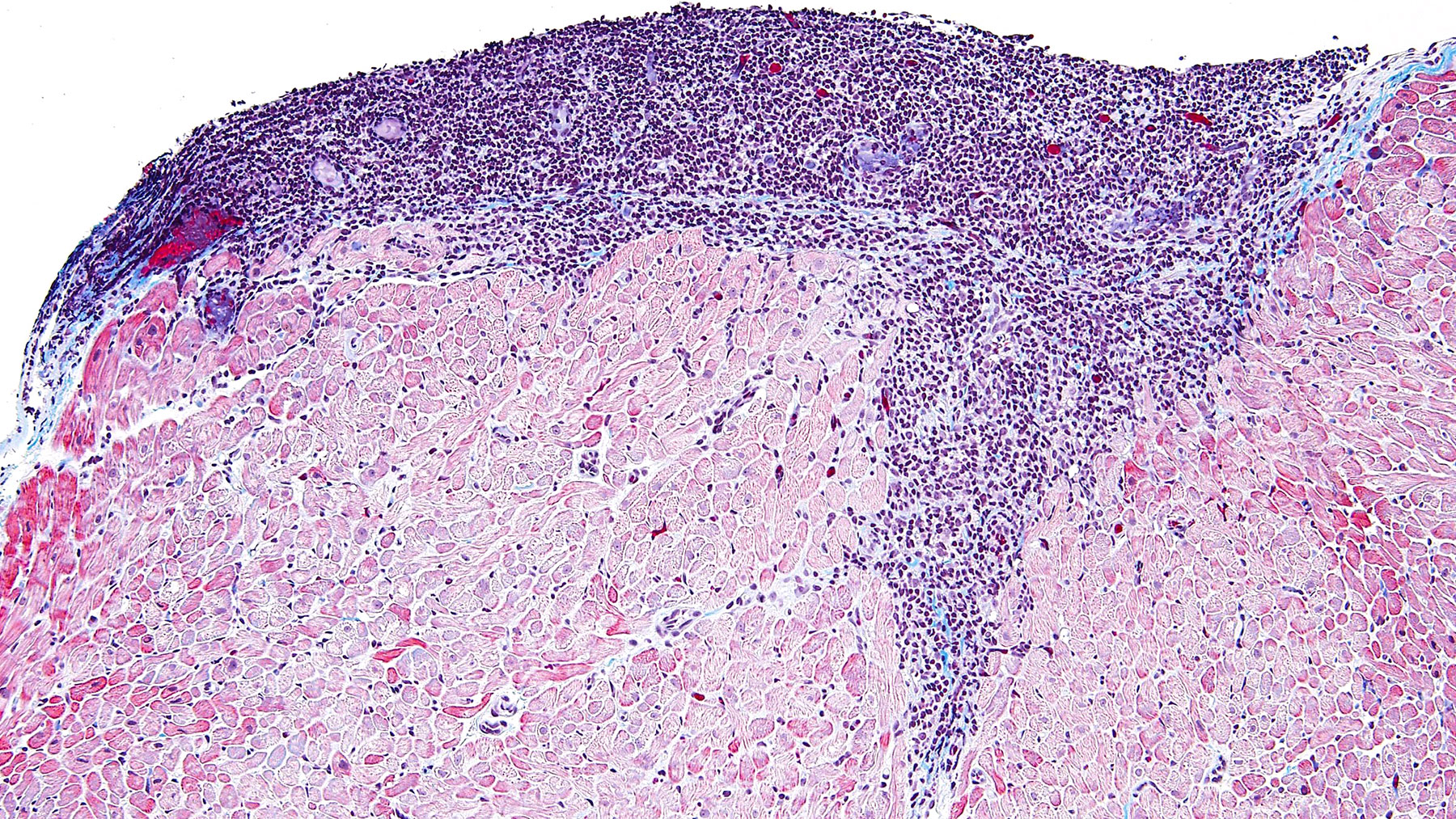
Quilty B Lesion

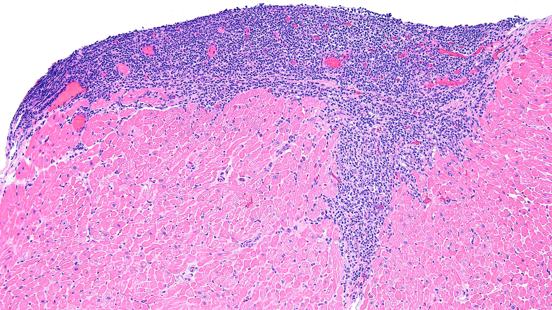
Figure A. H&E stain (10x)

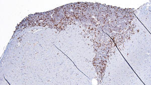
Figure B. CD20 (10x)

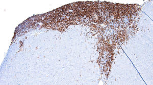
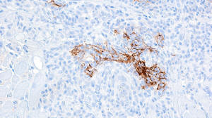
Figure C. CD21 (10x)

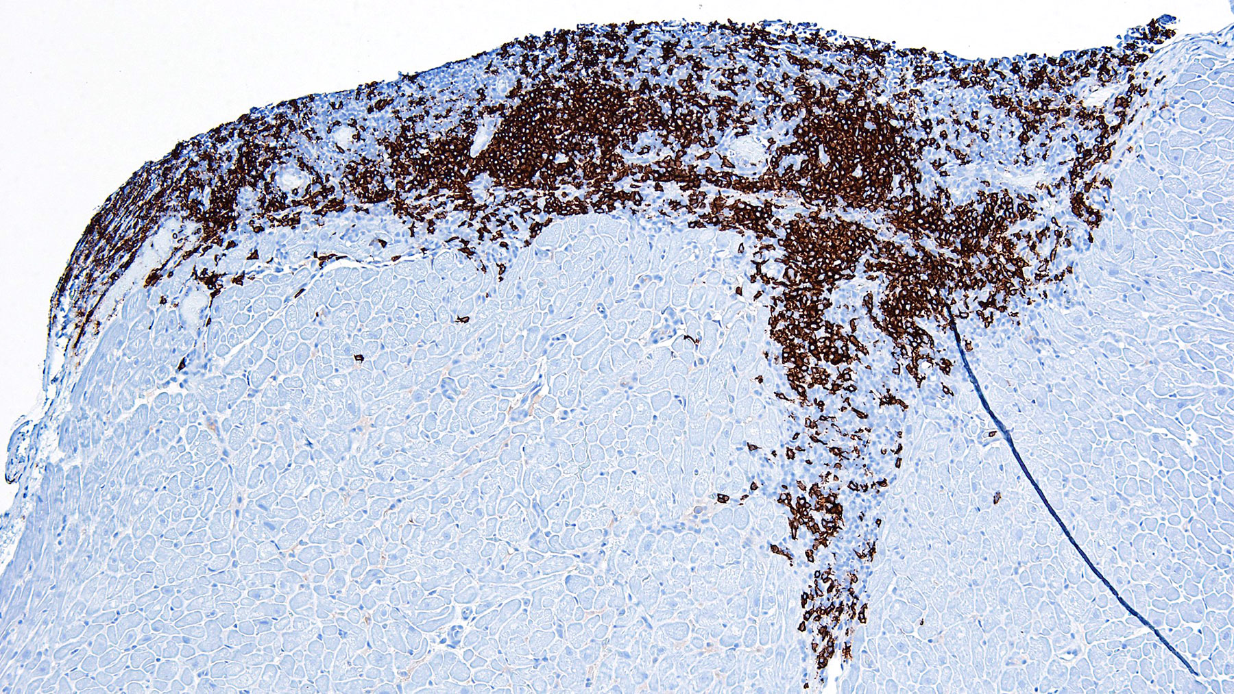
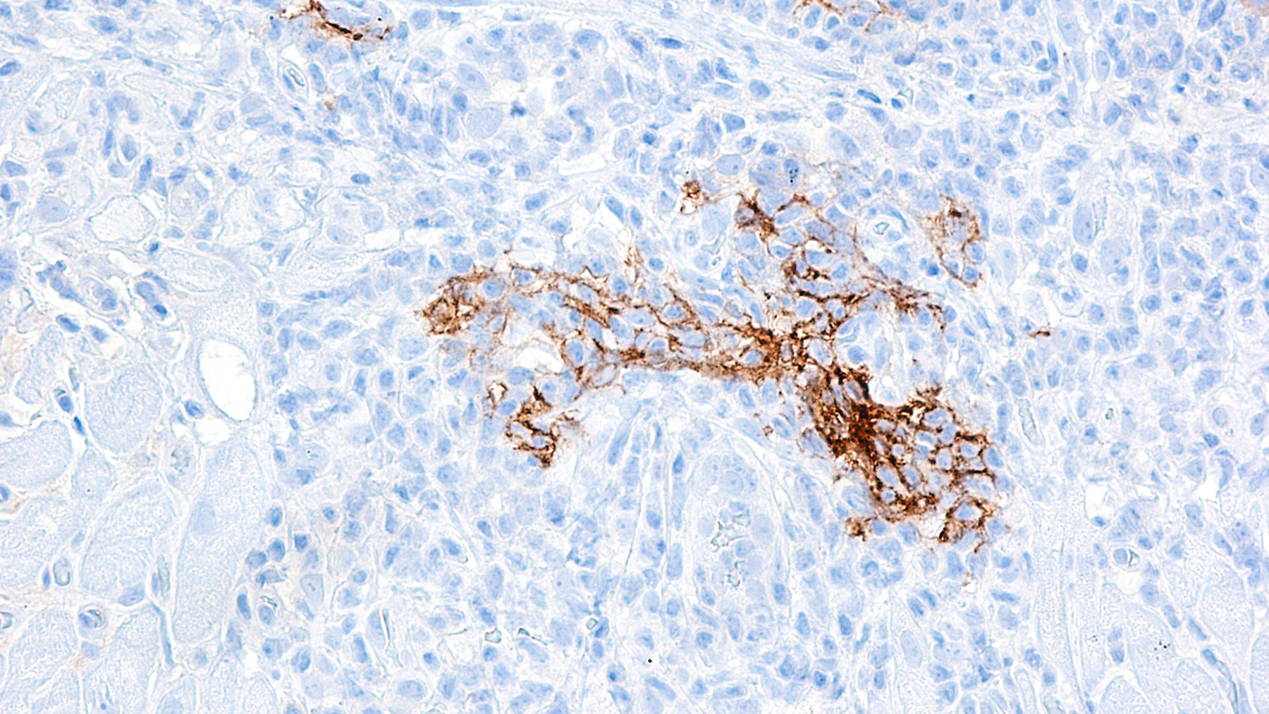
Figure D. CD21 (40x)

Figure E. CD4 (10x)

Figure F. CD8 (10x)

Figure G. Trichrome stain (10x)

 

 

Clinical History: 56 year old male status post heart allograft secondary to congestive heart failure. His previous biopsy showed mild acute cellular rejection with focal myocyte damage, ISHLT 2004 grade R1.

Another biopsy which was done 15 days later, showed no evidence of mild acute cellular rejection, ISHLT 2004 grade R0 but one fragment showed a large Quilty B lesion.

Histology: Figure A shows endocardium with a large focus of mononuclear inflammatory infiltrate spreading deeper between the myocardial fibers: this infiltrate shows focal myocyte encroachment and includes some plasma cells and a central capillary vessel. CD4, CD8 and CD20 are all positive (Figure E, F and B). CD21 is also positive which is a strong indicator of quilty effect. (Figures C and D). Trichrome staining shows no significant fibrosis (Figure G)


(Last Edition: July 09, 2022 )