Antibody Mediated Rejection (AMR)

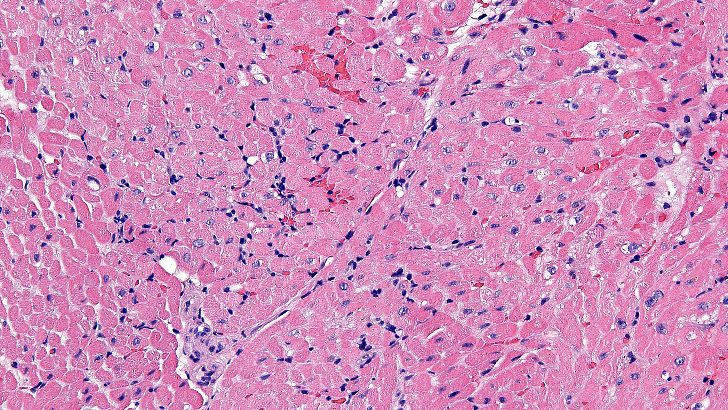
Figure A. H&E x20

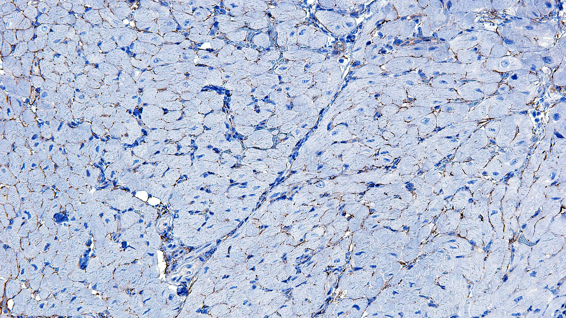
Figure B. CD4d x20

Figure C. CD4d x40

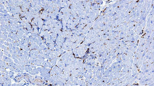
Figure D. CD68 x20

 

 

   

 

Clinical History: 21 year old male with history of idiopathic dilated cardiomyopathy and worsening heart failure; he received a heart allograft on one year ago. He recently presents with cough, headache and minor dyspnea.

Histology: The sections show myocardial tissue with a diffuse, mild to moderate increase of intravascular mononuclear cells, which are confirmed by special immunostaining for CD68 showing ~50% of focal intravascular macrophages (score 1)(figure D). Special immunostaining for C4d shows moderate staining (2+) of the endothelial cell lining of capillary vessels (Figure B, C)


(Last Edition: July 09, 2022 )