Cardiac Amyloidosis

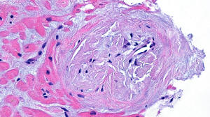
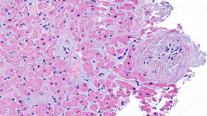
Figure A. H&E x20

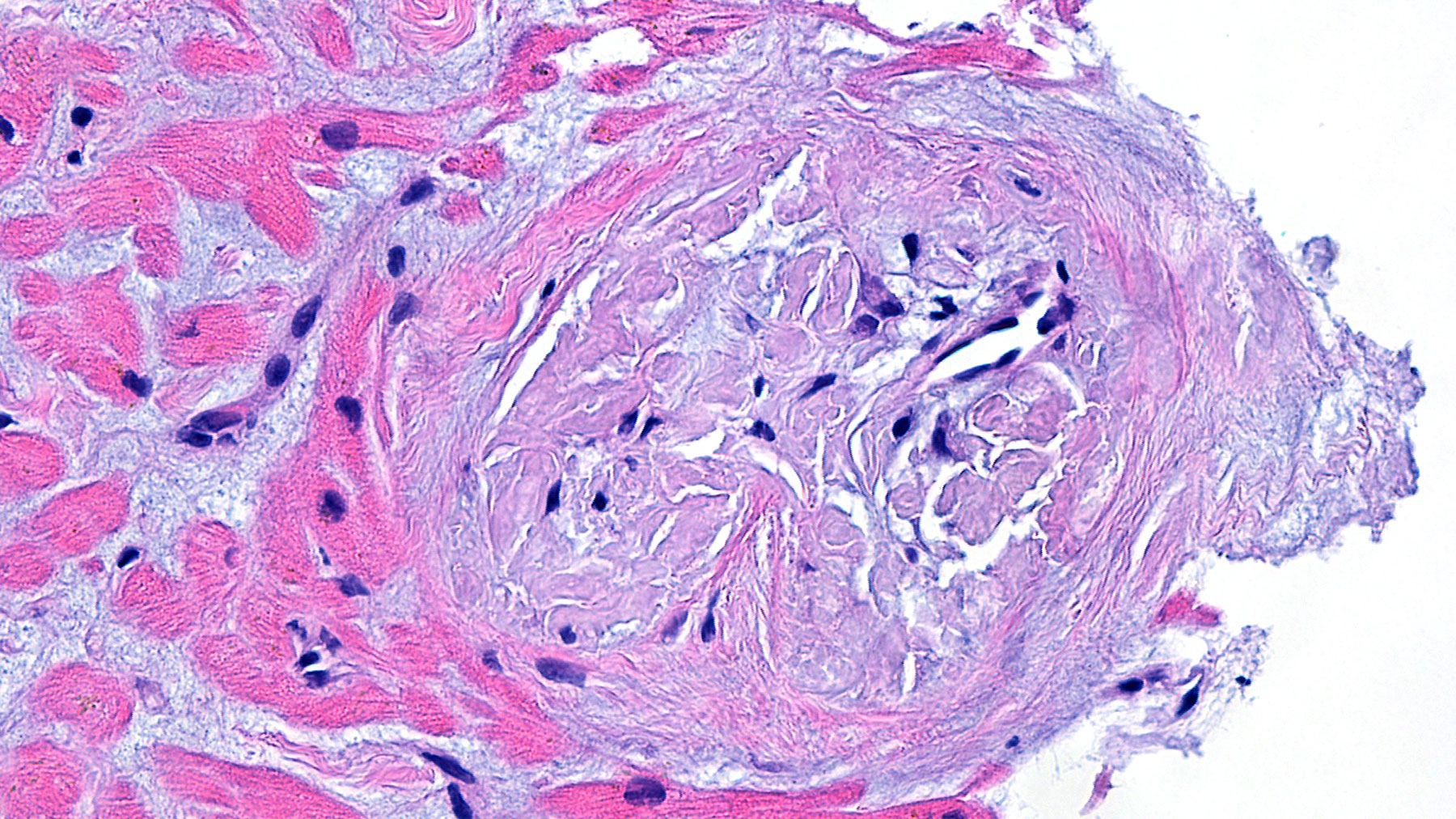
Figure B. H&E x40

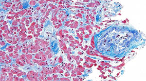
Figure C. Trichrome stain x20

Figure D. Trichrome stain x40

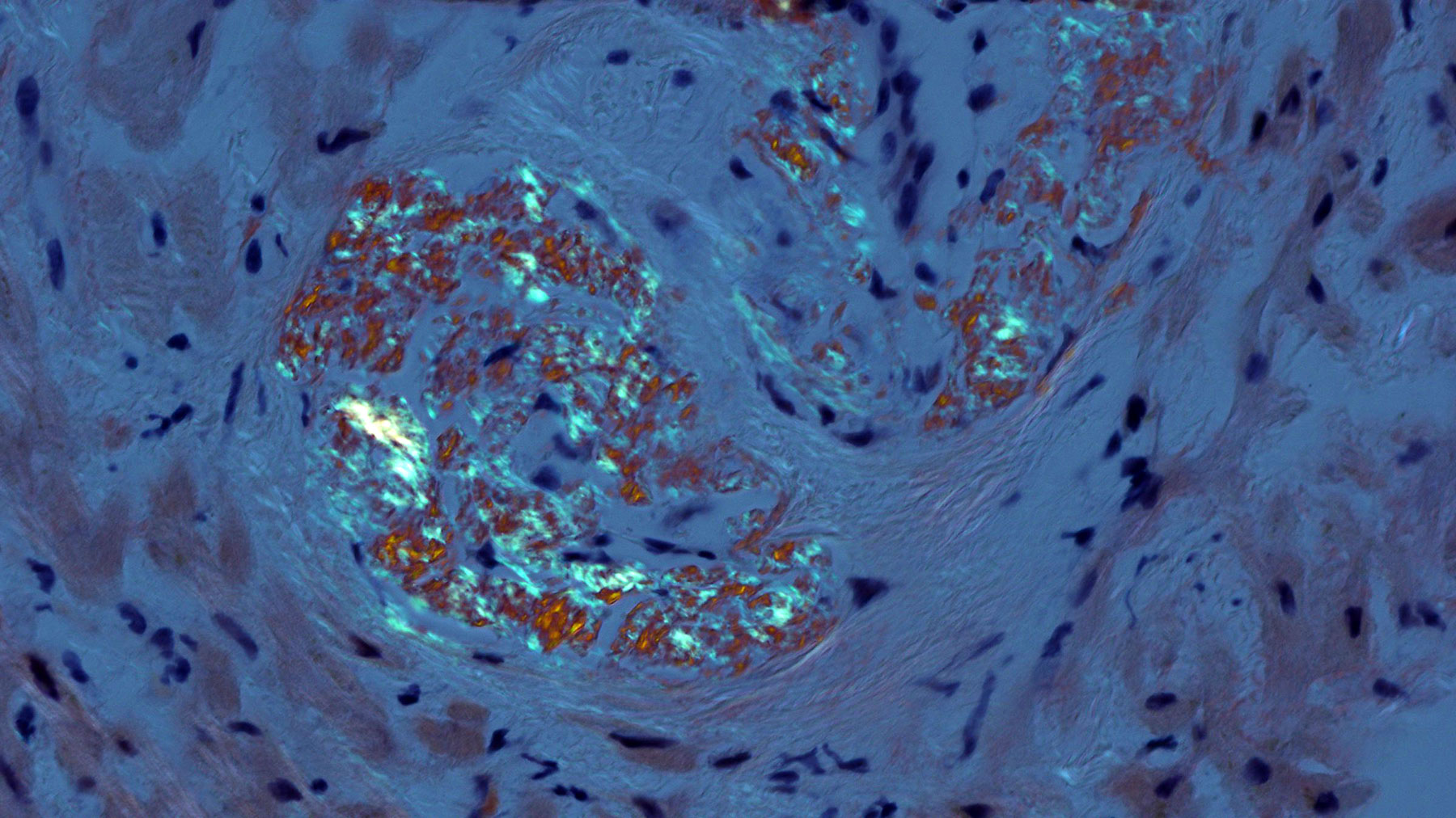
Figure E. Congo Red stain x40

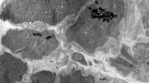
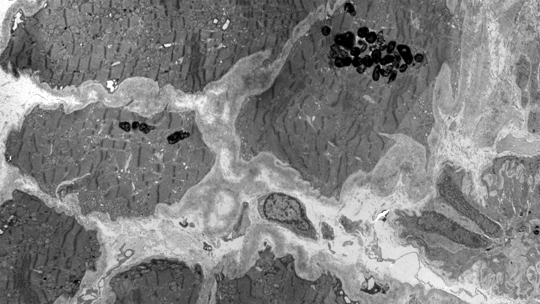
Figure F. Electron Microscopy

Figure G. Electron Microscopy

 

Acquired

 

Clinical History: 68 year-old male with 5 year history of restrictive cardiomyopathy, who had multiple episodes of syncope. His kappa: lambda free L/C ratio was found to be 0.42 (n 0.58-2.24).

Histology: A heart biopsy was performed and H&E sections (Figures A & B) show myocardial tissue with unremarkable cardiomyocytes and mild to moderate interstitial fibrosis, confirmed by trichrome staining (Figures C and D). The small vessels show moderate wall thickening with accumulation of smudgy, light eosinophilic material with cracking appearance, which stains light purple with the trichrome staining. Congo red staining (Figure E) viewed under polarized light shows apple-green birefringence consistent with amyloid deposits. Electron microscopic examination (Figures F and G) reveal cardiomyocytes and vascular structures surrounded by a fibrillary material (Figure G) consistent in size and appearance with amyloid (n 5-15 nanometer).


(Last Edition: July 09, 2022 )