Cardiac Amyloidosis

Figure A. H&E x20

Figure B. H&E x40

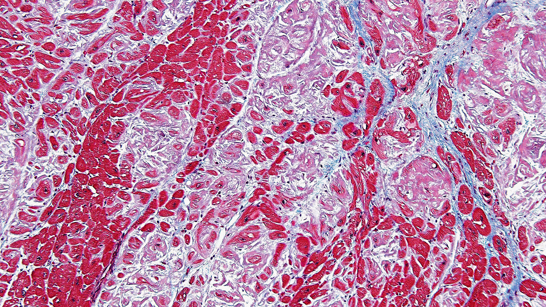
Figure C. Trichrome stain x20

Figure D. Trichrome stain x40

       

Acquired

 

The Hematoxilin & Eosin (H&E) sections (Figures A and B) show myocardial tissue with unremarkable cardiomyocytes and mild to moderate interstitial fibrosis, confirmed by trichrome staining (Figures C and D). The small vessels show moderate wall thickening with accumulation of smudgy, light eosinophilic material with cracking appearance, which stains light purple with the trichrome staining.

   

Congo red staining (Figure E) viewed under polarized light shows apple-green birefringence consistent with amyloid deposits. Electron microscopic examination (Figures F and G) reveal cardiomyocytes and vascular structures surrounded by a fibrillar material (Figure G) consistent in size and appearance with amyloid.


(Last Edition: July 09, 2022 )