Lymphocytic Myocarditis

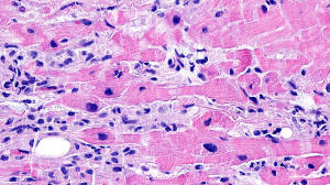
Figure A: H&E staining, 20x

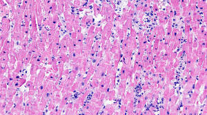
        Figure B: H&E staining, 20x

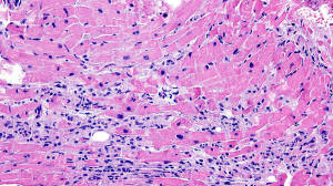
              Figure C: H&E staining, 40x

            Figure D: Trichrome staining, 20x

     

Myocarditis

 

Clinical History: 27 year-old male with no significant past medical history developed chest pain and diffuse ST elevation on EKG with elevated troponins following a recent viral gastroenteritis. His cardiac function continued to decline and a myocardial biopsy was performed.

Histology: H&E staining ( Figures A, B, C) show predominant interstitial edema and lymphocytic infiltration with myocyte damage and necrosis (Figures A, B, C). Trichrome staining (Figure D) highlights the myocyte necrosis.


(Last Edition: July 09, 2022 )