Cardiac Sarcoidosis

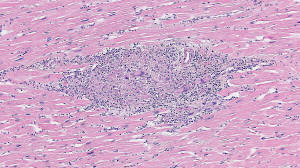
Figure A. H&E x 10

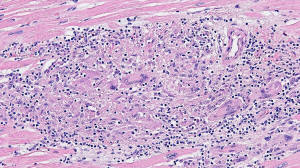
Figure B. H&E x20

Figure C. Trichrome stain x 20

Figure D. H&E x20

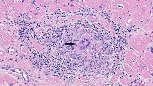
Figure E. H&E x20

Figure F. H&E x20

   

 

Clinical History: 45 year-old male with history of pulmonary sarcoidosis, atrial flutter and non ischemic dilated cardiomyopathy.

Histology: H&E sections of heart explant show various discrete, non necrotizing granulomas that are composed of nodular lesions with epithelioid histiocytes, mononuclear cells, fibroblasts and multinucleated giant cells (arrow in figure E. There is no myocyte necrosis ruling out giant cell myocarditis.


(Last Edition: July 09, 2022 )