Arrhythmogenic Right Ventricular Dysplasia

Figure A. Gross

Figure B. Gross, close-up

Figure C. H&E x4

Figure D. H&E x10

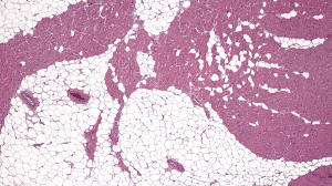
Figure E. H&E x20

Figure F. H&E x40

   

 

Clinical History: 42 year-old male with history of nonischemic cardiomyopathy with biventricular dysfunction. He had an Implantable Cardioverter Defibrillator (ICD) for the past five years, but later developed decompensated heart failure and received an orthotopic heart transplant. Sections of the right and left ventricles from the heart explant (Figure A) show myocardial walls partially replaced by adipose tissue (black arrows) that extend from the epicardium into the myocardium, predominantly in the right ventricle, but also present in the left ventricle and septum. Figure B is a close-up of the endocardial surface of the right ventricle with focal areas of adipose tissue.

Histology: H&E staining (Figures C-F) from the explanted heart shows patchy replacement of the myocardium by adipose tissue.


(Last Edition: July 09, 2022 )