Coronary Atherosclerosis

Figure A. H&E x2

Figure B. Trichrome x2

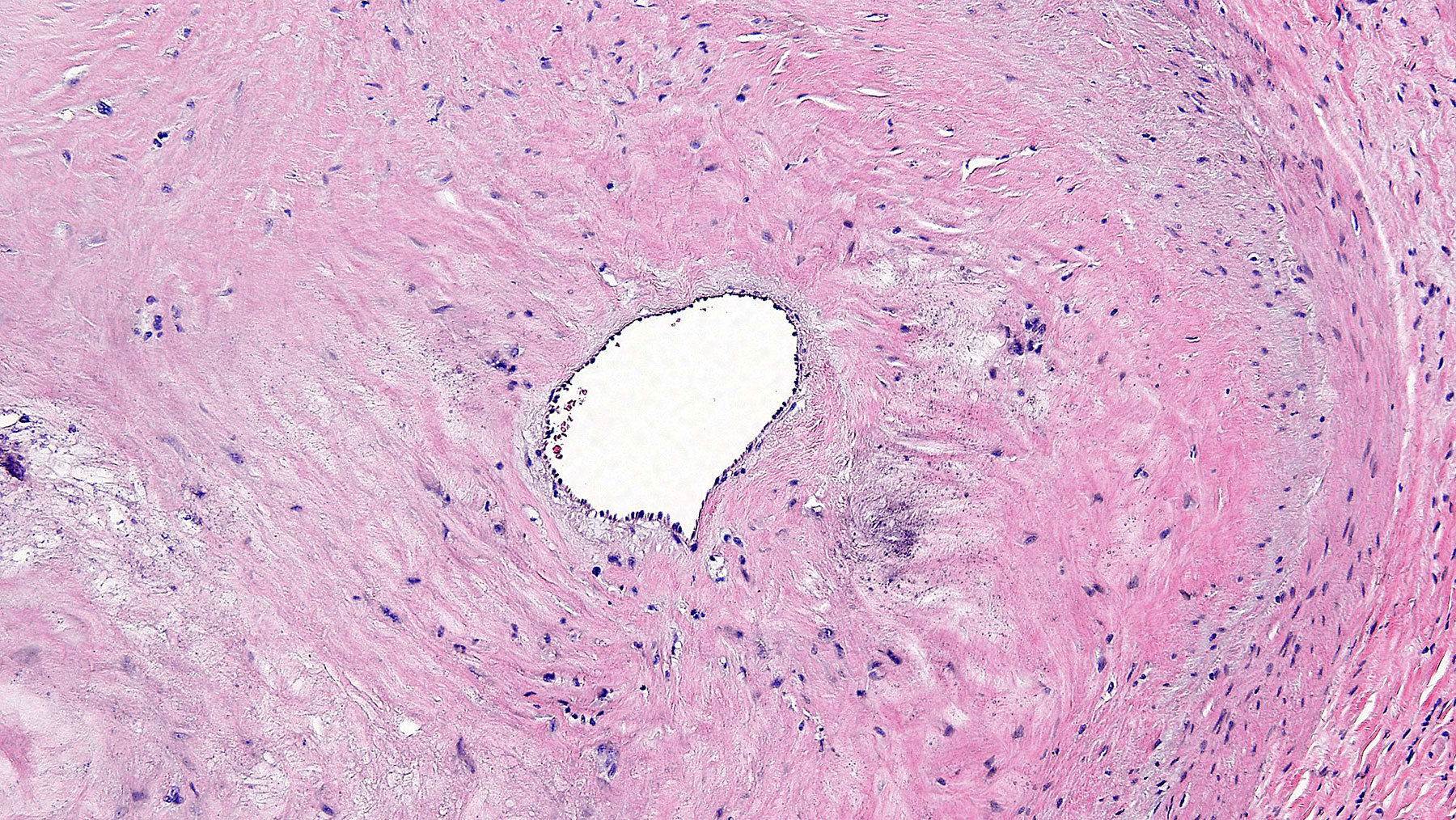
 Figure C. H&E x10

Figure D. Trichrome x10

 

 

   

 

Clinical History: A 65 year old male with history of left ventricular assisted device two years ago, coronary artery diseas and hypertension.

Histology: Figure A shows coronary artery atherosclerosis with dystrophic calcifications on upper left hand side of the figure A (Calcifications appear bluish on H&S staining). There is >90% occlusion of the lumen (lumen shown by the arrow). Figure C shows the endothelial lining of the lumen. The fibrosis is confirmed by trichrome staining in Figures B and D.  All these finding are consistent with severe coronaryartery disease


(Last Edition: July 09, 2022 )